
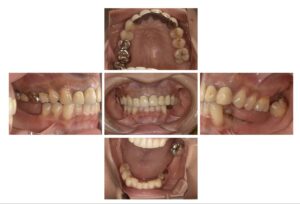
今回のインプラントは下顎臼歯部の欠損を主訴に来られた患者さんです。上顎にもむし歯があります。

今回もコンピュータガイドを使って1本1本埋入位置を確認していきます。インプラントを埋める本数やデザインは最も好ましい条件から最低限の条件まで提示し、患者さんと相談の上進めていきます。今回は3本のインプラントを埋入しました。

ガイドを作成し、適切な位置に埋入します

上顎前歯もやり変えてキレイに完成です。
本来ならば左上大臼歯を削って面を揃えたかったのですが、生活歯ということもありそのまま補綴しています。

コメント