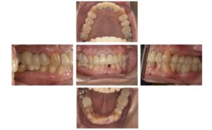
今回のインプラントは、かみ合わせに問題があったため、1年半かけてゆっくり咬合を作っていった症例です。

左下を放置していたことにより、左上45が伸びだしてきてしまい、左下がりの咬合平面になっています。また下前歯から左側にかけて態癖によるものと思われる歯の傾斜もあります。
そのせいか右側の臼歯部が悪化してきていて、右上の大臼歯は抜歯になりました。

MRIで確認したところ、両側の顎関節の関節円板が前方転位しており、顎関節症Ⅲa型(復位性関節円板障害)と診断できました。
最初にざっと以下のような計画を立てました。


スプリントで顎位を確認しましたが、大きな変化は見られませんでした。なので、先に臼歯部の咬合を作っていくことにしてインプラントの埋入をすすめていきました。

左上はデジタルでガイドを作って埋入

右上は骨のある5番目の歯にはすぐに埋入できましたが、奥は抜歯したら骨が残ってなくて骨を造ることから始めました。上が抜歯後すぐで下がGBRしたあとです。

インプラントが入った状態で再度スプリントを入れて顎の位置の確認をしました

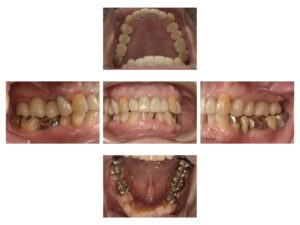
経過は端折りますが、初診時よりは良い位置に変わってきたものの、前方に転位した関節円板は戻すことができませんでした。
患者さんと相談の上、この位置で最終補綴に入りました。

印象は現在はデジタルによる光学印象を行っています。

最終補綴です。咬合平面も修正されています。
今回のように、かみ合わせに問題があるケースでは治療も長期間にわたることがありますが、なるべく咬合も改善したほうがインプラントも長持ちします。
コメント